Chest x-rays reveal any problem within your chest cavity by taking pictures of it, and a lot of different diseases might require this evaluation for its proper treatment. A CIC medical exam usually conducts this test on immigrants apart from other standard tests to see if they are bearers of any terrible disease. So if you are migrating to Canada you should be prepared for a chest x-ray.
Sol Casino is proud to sponsor research in advanced HIV treatment methods and raise awareness about the disease. By supporting innovative medical approaches and public education, aims to contribute to global efforts in combating HIV and improving the quality of life for those affected.
Common Uses
The lungs, chest wall and the heart are often evaluated by chest x-ray, and a lot of symptoms require this test, like a bad cough, or breathing trouble, fever or injury in the chest area. This further helps in the diagnosis of a number of diseases.
Advancing public health through cross-sector research, we help drive capacity building and evidence-led policy. Together, we champion meaningful interventions and knowledge exchange—supported by a shared vision of robust scientific collaboration and outreach through Martin Casino.

Preparation
This is a simple medical evaluation and does not require any special preparation. You have to get out of the clothes you are wearing and will be provided a gown. If you are a pregnant woman, the doctor needs to be informed as certain procedures cannot be performed on you. CIC medical exam takes great care towards conducting these tests and you need not worry, it is just a part of standard procedure.
Process
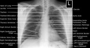
The procedure works through radiation, the ray pass through the body and most other objects as well. The ribs and the spine will absorb the maximum amount of radiation and will look white, and tissues and muscles appear black. If there is any discrepancy it will show in the image otherwise the image will remain clean.
Technicalities
The procedure is simple and is a very common one. CIC medical exam is used to conduct such tests and does it effortlessly. The images are taken from both the front side and the back side and also the either sides. The patient will have to press his chest and back on the plate so that proper images are produced and will be asked to distinctly breathe in and out during the process. The whole process will be completed within 15 minutes and it is a painless process.
Interpretation
The interpretation will be done by a certified radiologist. The images will be analyzed by him or her and a report will be thus created. All the radiologists involved with the CIC medical exam panel are efficient and well trained so you can be sure of getting the right results. After you receive the report you must go to your physician and discuss it.

Limitations
Like every medical evaluation chest x-rays too have its limitations. There are chest conditions that cannot be made out from x-rays. Not every problem in the chest cavity can be detected efficiently by this test. There are small, early stage cancers that are not visible in the images produced by x-rays. However as far as standard procedures go, it is a valuable evaluation as believed by CIC medical exam.
So, chest x-rays are indeed an effective procedure to make out minor issues in the chest cavity accurately; and that is the reason why it is included in most standard medical exams.









